当記事では、IMRTやVMATとはどのようなものかまとめ、トモセラピーの適応症などについても解説しています。IMRTとVMATについて知りたい方は、ぜひ参考にしてください。
ここでは、IMRTとVMATとはどのようなものか解説しています。
IMRTの専用機であるトモセラピーは、通常のCT装置に似た外観であり、内部に小型で高性能な放射線治療装置を備えています。CT撮影と同様に、寝台を動かしながら、治療用の放射線を360度方向から連続回転させながら照射します。
毎回、治療装置に内蔵されているCTで撮影をしながら、治療計画時とのズレを補正し、高精度に病巣に照射(画像誘導放射線治療)します。
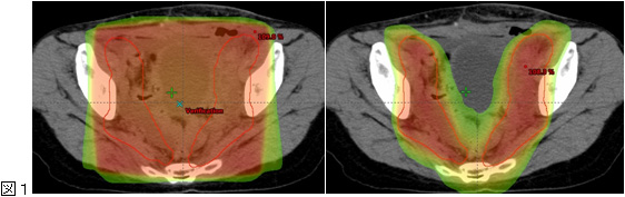
IMRTは、高度なコンピュータ技術により通常の放射線治療では困難とされていた複雑な形状の線量分布を生成します。そして、がん病巣周囲の正常組織への線量を抑えながら、病巣へ高線量を集中させることにより、副作用の軽減が期待される治療技術です。
現在、回転照射に強度変調を組み合わせたIMRTの応用形であるVMAT(強度変調回転照射)が主流になってきています。線量率や回転速度なども変化させつつ強度変調照射ができ、治療時間の短縮を図ることが可能になりました。
照射に時間を要していた高精度放射線治療のスループットを向上させることにより、なるべく多くの患者へIMRTを提供できるよう開発された技術です。
参考元:新潟県立がんセンター新潟病院「トモセラピー (Radixact)」(https://www.niigata-cc.jp/bumon/housyasenChiryouRadixact.html)
IMRTを回転させながら行うVMATは、治療装置や患者の乗っている寝台を回転させていきます。そして、がん病巣の形状に合わせながら照射範囲をコンピュータ制御にて変化させ、病巣へ集中的に放射線を照射します。この技術は、IMRTの中に含まれていいます。
VMATによる照射法なら、回転させながらIMRTが行えるため、治療時間が短縮でき、寝台の上で身体内のがん病巣の動きによる影響を軽減させられます。

トモセラピーは、呼吸器や消化器、生殖器など幅広い部位に発生したがん治療に使用できます。肺がんや頭頚部がん、食道がん、膵がんなどにおいては、早期はもちろん、ある程度まで進行した状態でも対応が可能です。
また、前立腺がんへの放射線治療は高い効果があるとされています。トモセラピーなら、骨転移による痛みを緩和できるほか、脳転移にも対応可能です。
IMRTは、高度なコンピュータ技術により従来の照射法では困難とされていた複雑な形状の線量分布を作れます。そして、がん病巣周囲の正常組織への線量を抑えながら、がん病巣へ高線量を集中でき、副作用を軽減できます。
VMATを用いると、同様の放射線量をより短時間にあてることが可能です。
以下のページでは、トモセラピーの基礎知識について解説しています。トモセラピーによる治療法を検討している方は、ぜひ参考にしてください。
がんの方の生活の質を高めるための「緩和ケア」について紹介しているサイトです。主治医に「治療がない」と言われた方でも受けられる可能性がある治療についてもまとめています。